327 Central Prk W #1C, New York, NY 10025

At CPWPD (Central Park West Pediatric Dentistry), we are doing our very best to fight against dental cavities and use the most up to date techniques to provide families with a variety of treatment options. One of our newer tools that some might not be familiar with is Silver Diamine Fluoride, also known as SDF. SDF has been used in Japan and other countries for many years and has slowly but surely become more popular in the US since receiving FDA clearance in 2014. SDF is an FDA-accepted treatment for tooth sensitivity and is extremely effective at preventing cavities from getting larger.
How does Silver Diamine Fluoride work?
SDF is a clear liquid that is applied to cavities. It contains silver, which is antimicrobial, and fluoride, which helps decrease the solubility of tooth structure and prevent further demineralizing. Together, SDF helps strengthen areas of dental decay and decreases the quantity of harmful bacteria, ultimately preventing existing cavities from growing larger and new cavities from forming. The silver portion of SDF stains tooth decay permanently black.
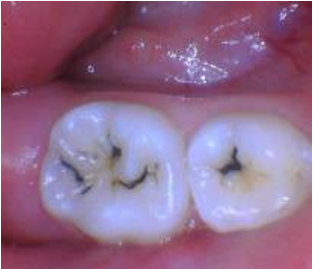
- Primary molars treated with SDF
Source: ASTDD Fluoride Fact Sheet
https://www.astdd.org/www/docs/sdf-fact-sheet-09-07-2017.pdf
When can Silver Diamine Fluoride be used?
There are several situations where SDF is an effective treatment for cavities. We frequently will recommend SDF for:
-Very young children or those with special health care needs that are unable to tolerate traditional dental treatment.
-Children with the start of a cavity in order to slow down the progression and hopefully prevent the need for fillings in the future.
-Children with sensitive hypoplastic permanent molars prior to traditional fillings.
What can I expect during my child’s Silver Diamine Fluoride appointment?
SDF is extremely easy to use and painless. The first application can be done during your child’s dental checkup or consultation. The clear liquid is applied to dry teeth for 1 minute. Two weeks later, SDF is reapplied during a quick visit. After the initial treatment, the American Academy of Pediatric Dentistry (AAPD) recommends reapplication twice per year.
How effective is Silver Diamine Fluoride?
According to the AAPD, when used as recommended, SDF treatment results in a “nearly 80 percent reduction in both caries progression and subsequent caries on treated teeth”! For SDF to be optimally effective, it’s important to maintain good oral hygiene with regularly brushing and flossing and stick to a low sugar diet.
Are there any risks associated with Silver Diamine Fluoride?
SDF stains cavities permanently black and can temporarily stain the skin and gums black if it spreads beyond the tooth. Unfortunately, this esthetic side effect steers parents away from having it placed, especially on anterior teeth. Most frequently, we place SDF on baby teeth and posterior teeth, so the stain in generally unnoticeable and will eventually disappear as the baby teeth exfoliate.
If you think your child can benefit from this minimally invasive and cost-effective procedure, please call our office today to schedule a consultation!
Check out these articles to read up more about Silver Diamine Fluoride!



